卵巢功能检查的主要指标
  卵巢是女性的重要生殖器官,主要功能是产生卵子和分泌女性激素。卵巢功能是否健全能够反应女性的生育力,所以临床了解女性卵巢功能对评估女性的生育力至关重要。那么,临床上评估女性卵巢功能的指标有哪些呢?
 
  一、年龄
 
  女性的年龄永远是排在第一位需要考虑的因素。一般来说,女性从35岁开始,卵巢功能开始减退。自然受孕机会和辅助生殖技术的成功率都会开始明显下降,自然流产率升高。
 
  二、AFC
 
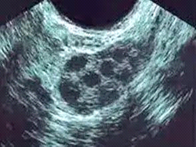
  AFC是指卵巢中窦卵泡数,是卵巢的储备功能重要指标之一,反映卵巢中可供产生成熟卵子的“种子”数。通过经阴道B超检查可以了解该指标,双侧卵巢AFC总数小于6-8枚提示卵巢功能减退。B超同时可以测量卵巢的大小,卵巢早衰患者的卵巢体积明显缩小。
 
  (图:B超下显示卵巢AFC)
 
  三、AMH
 
  抗苗勒激素(简称AMH),是由卵巢小卵泡分泌的一种糖蛋白,卵巢小卵泡数目越多,血清中它的浓度越高。其不受女性生理周期影响,可以在任何时候检查,AMH值小于0.5-1.1ng/ml提示卵巢功能减退。
 
  四、FSH、LH、E2值
 
  月经第2或3天性激素FSH、LH、E2值可以反映卵巢的基础激素水平,一般FSH>10IU/L,当两次FSH≥12IU/L者提示卵巢功能减退。
 
  五、既往促排卵治疗获卵数
 
  在既往的常规促排卵治疗周期中,获卵数≤3枚,提示卵巢功能减退可能。
 
  六、既往卵巢手术史
 
  卵巢手术可能损伤正常卵巢皮质及影响卵巢的血供从而影响卵巢功能,导致医源性卵巢功能减退的发生。
 
  七、放化疗病史
 
  恶性肿瘤患者的放疗和化疗会对正常的卵巢组织产生不可逆性损伤,减少卵巢原始卵泡的数量,导致卵巢功能减退。
 
  其中AFC和AMH是两个相对独立评估卵巢储备功能的指标,具有重要临床指导意义。另外,目前临床上常规的评估卵巢功能都属于症状后诊断,而大部分卵巢早衰的患者一旦诊断即意味着生育力的丧失。部分卵巢早衰患者是由于基因突变导致,基因检测可以明确这类患者的病因诊断。对高危人群进行基因检测有望对这类患者进行症状前诊断,从而可以趁早安排自己的生育计划。
  • 电话
  • 咨询
  • 微信